遺伝子発現を操作した場合は、その操作の結果を正確に評価する必要があります。In situ hybridizationは狙った遺伝子のmRNAの分布を組織学的に検出する方法です。本研究室ではISHをルーチンに行い、遺伝子発現変化を追いかけます。
マウス海馬歯状回。赤がGAD67、緑がcalretinin。蛍光二重ISH
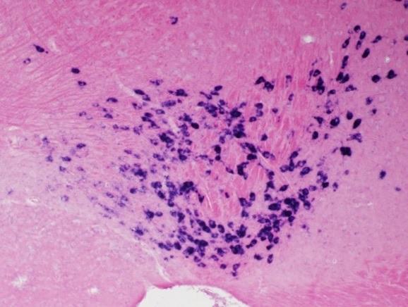
マウスVTA。ドパミン神経特異的に発現させた外来遺伝子のISH。DIG-AP-NBTのISHでは、シグナルは青紫色になる。赤はNuclear
Fast Redによるcounter sitain